Introduction
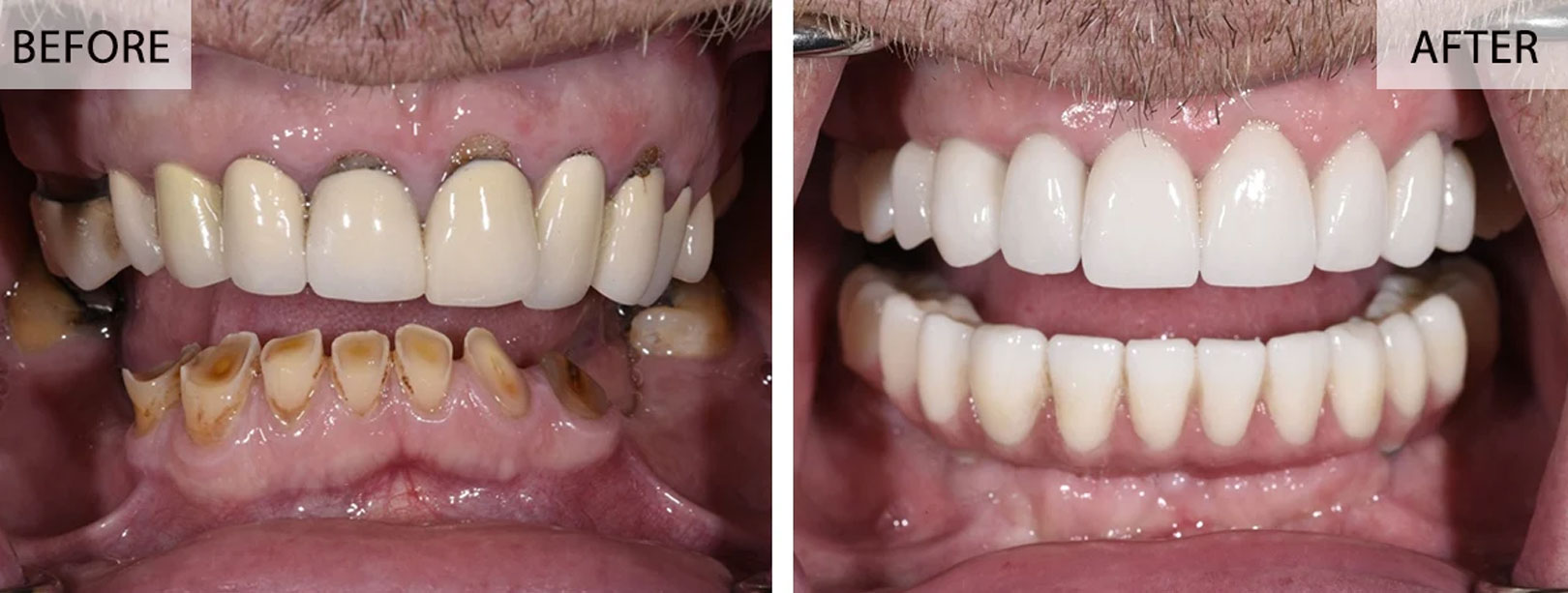
Complete dental rehabilitation is not just about replacing missing teeth—it is about restoring confidence, comfort, function, and overall oral health. Traditional dentures and bridges have long been used for tooth replacement, but they often fall short in providing long-term stability and natural aesthetics. With advancements in modern dentistry, dental implants, especially patient specific implant solutions, have revolutionized the way full-mouth rehabilitation is planned and executed.
Understanding Complete Dental Rehabilitation
Complete dental rehabilitation refers to the comprehensive restoration of a patient’s oral health when multiple teeth are missing, damaged, or failing. This process focuses on improving chewing efficiency, speech, facial aesthetics, and jawbone health. Each patient has unique anatomical, functional, and aesthetic requirements, which is why customized treatment planning plays a crucial role in successful outcomes.
This is where dental implants—and more importantly, patient-specific solutions—make a significant difference.
Role of Patient Specific Implant in Dental Rehabilitation
Dental implants act as artificial tooth roots that integrate with the jawbone, providing a strong foundation for crowns, bridges, or full-arch prostheses. Unlike removable dentures, implants are fixed, stable, and mimic the function of natural teeth.The introduction of patient specific implant technology has elevated implant dentistry to a new level by offering personalized solutions based on individual bone structure, bite alignment, and facial anatomy.
Key Benefits of Dental Implants in Rehabilitation
- Restore natural chewing and biting ability
- Prevent jawbone resorption
- Improve facial aesthetics and lip support
- Enhance speech clarity
- Offer long-term durability and comfort
Role of Patient Specific Implant in Dental Rehabilitation
A patient specific implant is designed using advanced digital imaging such as CBCT scans and CAD/CAM technology. These implants are tailored to the patient’s bone density, jaw shape, and occlusal forces, ensuring a precise fit and optimal load distribution.
Advantages of Patient Specific Implant Solutions
- Customized Fit and Precision
Unlike standard implants, patient specific implant designs reduce surgical guesswork, resulting in accurate placement and better osseointegration. - Improved Long-Term Stability
Since the implant is designed according to individual bone anatomy, it offers superior stability and reduces the risk of implant failure. - Minimally Invasive Surgery
Customized planning allows for flapless or minimally invasive procedures, leading to faster healing and less post-operative discomfort. - Better Aesthetic Outcomes Patient specific implant placement ensures proper gum contouring and natural-looking prosthetic teeth that blend seamlessly with facial features.
Full-Mouth Rehabilitation Using Dental Implants
In cases of complete tooth loss or severely compromised dentition, dental implants enable full-mouth rehabilitation through solutions such as:
- All-on-4 or All-on-6 implant systems
- Implant-supported fixed bridges
- Hybrid dentures anchored by implants
By incorporating patient specific implant planning, dentists can restore the entire dental arch with fewer implants while maximizing strength and aesthetics.
Key innovations:
- Robotic Surgery: Enhanced precision and visualization have made robotic-assisted parotidectomies more common, especially in tumors near the facial nerve.
- Endoscopic Techniques: Used for smaller tumors, especially in the submandibular and minor salivary glands, endoscopic approaches reduce the surgical footprint and post-op complications.
Bone Preservation and Facial Structure Support
One of the most transformative aspects of dental implants is their ability to preserve jawbone health. When teeth are missing, the jawbone begins to shrink due to lack of stimulation. Dental implants function like natural tooth roots, stimulating the bone and preventing bone loss.
Patient specific implant designs further enhance this benefit by adapting to available bone volume, even in cases of bone resorption, reducing the need for extensive grafting procedures.
Enhanced Comfort and Quality of Life
Traditional dentures can slip, cause sore spots, and restrict food choices. Implant-based rehabilitation eliminates these issues by offering fixed, secure teeth. Patients experience:
- Increased confidence while smiling and speaking
- Freedom to eat a wider variety of foods
- No fear of prosthesis movement
- Improved overall oral comfort
- When a patient specific implant approach is used, comfort levels are significantly higher due to precise implant positioning and prosthetic alignment.
Digital Dentistry and Implant Planning
Modern dental rehabilitation heavily relies on digital workflows. From 3D scans to virtual implant planning and guided surgery, technology ensures predictable and accurate outcomes.
Patient specific implant solutions integrate seamlessly with digital dentistry, allowing clinicians to simulate final results even before the surgery begins. This not only improves success rates but also enhances patient understanding and satisfaction.
Long-Term Success and Maintenance
Dental implants are a long-term investment in oral health. With proper care, they can last decades. Regular dental check-ups, good oral hygiene, and professional maintenance ensure implant longevity.
A patient specific implant further contributes to long-term success by reducing mechanical stress, improving prosthetic fit, and maintaining healthy surrounding tissues.
Conclusion
Dental implants have transformed complete dental rehabilitation by offering stable, functional, and aesthetic solutions for tooth replacement. The integration of patient specific implant technology has taken this transformation a step further by personalizing treatment for superior precision, comfort, and durability.
For patients seeking a permanent and natural-looking solution to restore their smile and oral health, dental implants—especially patient-specific approaches—represent the gold standard in modern dental rehabilitation.

